Løsning på æstetiske problemer og bidtvanskeligheder med en zirkonium helbro

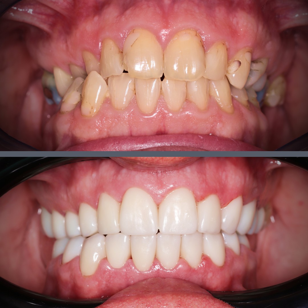
Oprindelig tandstatus

Vores 54-årige patient henvendte sig til os med æstetiske problemer og vanskeligheder med bidfunktionen. Tilstanden i både over- og underkæben påvirkede ikke kun hans udseende, men gjorde også måltiderne besværlige.

Løsning

Rehabiliteringen blev udført med en metalfri, æstetisk, stabil og holdbar helbro i zirkonium – både i over- og underkæben. Denne løsning genskabte ikke blot smilets æstetik, men korrigerede også bidfejlen.

Resultat

Hele behandlingen blev gennemført på kun fire måneder. Takket være den naturlige og funktionelle nye protese er mandens livskvalitet blevet markant forbedret: han kan nu smile selvsikkert og nyde sine måltider uden bekymringer.