Fra gammel bro til fast og æstetisk løsning: All-on-4® i overkæben på 5 måneder

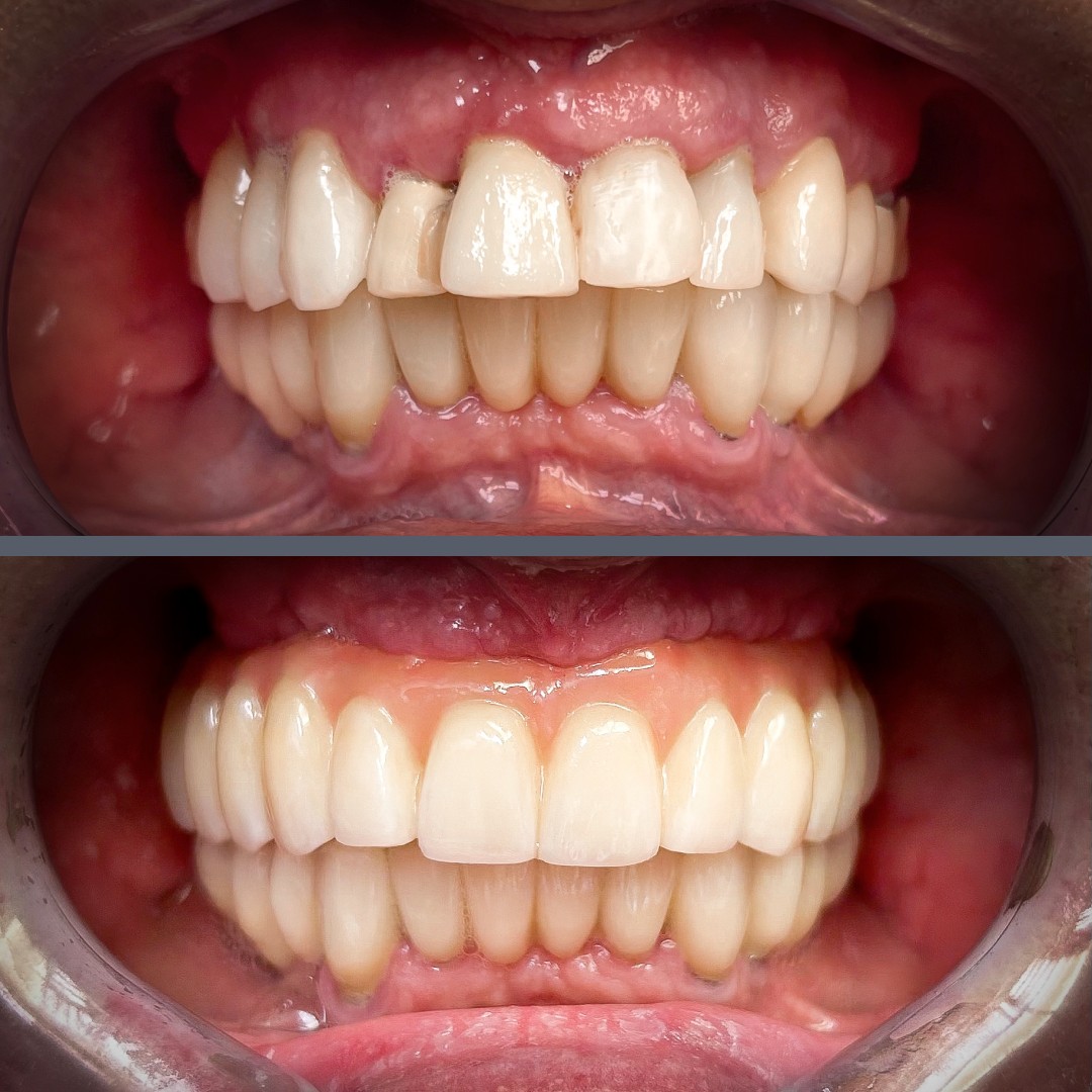
Oprindelig tandstatus

Tandbroer skal ofte udskiftes over tid – af både æstetiske og helbredsmæssige grunde.

Vores 76-årige patient havde i over 15 år haft broer og kroner i overkæben. Selvom disse fungerede fint i mange år, begyndte tænderne under dem gradvist at forfalde pga hyposalivasjon: de blev angrebet af caries, blev løse og begyndte at gøre ondt, især under tygning. Smilens æstetik blev også påvirket. Da tænderne ikke længere kunne bruges som stabilt fundament for nye proteser, var en fuld rehabilitering af overkæben nødvendig.
Patienten ønskede en hurtig, fast og langtidsholdbar løsning, som både skulle være funktionel og æstetisk. Vi anbefalede en behandling med All-on-4®-implantater.

Løsning

Behandlingen bestod af to hovedfaser. Først fjernede vi de ødelagte tænder under den gamle bro og indsatte fire Nobel Biocare-implantater i overkæben ifølge All-on-4®-konceptet. Til helingsperioden fik patienten en fast midlertidig bro, som fungerede godt både æstetisk og funktionelt.
Efter at knogle og blødt væv var helet, fremstillede vi den endelige All-on-4®-bro og fastgjorde den til implantaterne. Broen er lavet af zirkonium, som både giver et naturligt æstetisk udtryk og har en høj styrke – derfor egner den sig ikke kun til fronten, men også til tyggetænderne.

Resultat

Hele behandlingsforløbet tog cirka fem måneder. Patienten lever nu med en smertefri, komfortabel og fuldt funktionel fast tandløsning i overkæben – og har fået glæden ved mad og socialt samvær tilbage.